Case Details
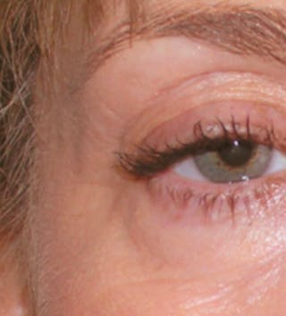
BOTOX crows feet
                        Gender:
                        
                                                                                                    Female
                        Surgical Procedures:
                        
                            BOTOX




























