Case Details
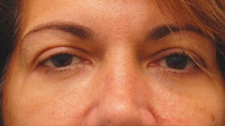
Under Eye Filler
Patient ID:
Fill5
Surgical Procedures:
Fillers
Full Case Details:
Filler can be used often to improve the appearance of the under-eye area. This patient eventually had a lower eyelid blepharoplasty performed.















































