Case Details
jawline and marionette filler
Patient ID:
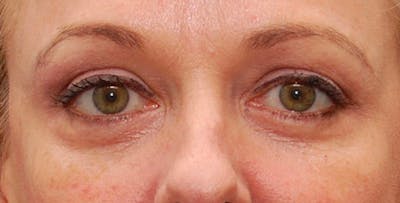
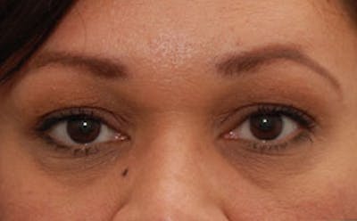
Fill 31
Surgical Procedures:
Fillers, and Jawline Contouring
Full Case Details:


















































