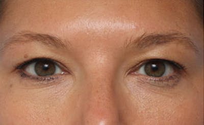
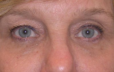
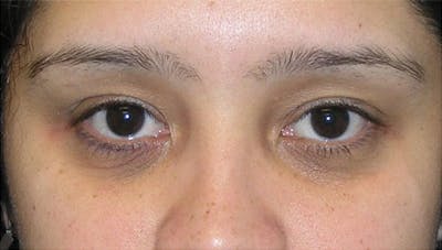
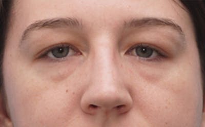
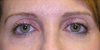
Case Details
Lower Eyelid Blepharoplasty
Age:
51-60
Gender:
Female
Post-Op:
9 months
Surgical Procedures:
Eyelid Surgery
Full Case Details:
Lower eyelid fat transposition, muscle suspension blepharoplasty.













































